خدماتنا
في مركز الدكتورة سجانة الابتسام الدولي لصحة وزراعة الأسنان، نقدم مجموعة شاملة من خدمات طب الأسنان المصممة لتلبية جميع احتياجات صحة الفم الخاصة بك. تشمل عروضنا عمليات التنظيف الروتينية والرعاية الوقائية والعلاجات التصالحية والتحسينات التجميلية والإجراءات المتخصصة.
سواء كنت بحاجة إلى فحص بسيط، أو تبييض أسنان، أو أعمال أسنان أكثر تقدمًا، فإن فريقنا الماهر يستخدم أحدث التقنيات لتقديم نتائج استثنائية وضمان ابتسامتك صحية ومشرقة.
علاج قناة الجذر بدون ألم
يمكن علاج قناة الجذر بدون ألم باستخدام تقنيات طب الأسنان الحديثة والرعاية المناسبة للمريض.
- استشارة ما قبل العلاج
- التاريخ الطبي
- الأدوات الدوارة
- التصوير الرقمي
تقويم الأسنان الشفاف
تُعد أجهزة تقويم الأسنان الشفافة أحد خيارات العلاج التقويمي المصممة لتقويم الأسنان وتصحيح مشاكل العضة دون الحاجة إلى تقويم الأسنان المعدني التقليدي.
- الجاذبية الجمالية
- راحة
- قابلة للإزالة
- صيانة سهلة
تبييض الأسنان
تبييض الأسنان هو إجراء تجميلي شائع للأسنان يهدف إلى تفتيح لون أسنانك وإزالة البقع أو تغير اللون.
- العلاج المهني
- إجراء
- أطقم تحت إشراف طبيب الأسنان
- شرائط التبييض
زرع الأسنان
عندما يتم فقدان الأسنان بسبب مرض أو حادث، قد تكون زراعة الأسنان خيارًا جيدًا
- يزرع في نفس اليوم
- زرع الجسور
- زرع الأسنان
- الكل على ٤
- زراعة أطقم الأسنان
الوقاية عن طريق الفم
تشير الوقاية الفموية إلى إجراء تنظيف الأسنان الاحترافي الذي يقوم به طبيب الأسنان أو أخصائي صحة الأسنان
- يمنع أمراض اللثة
- يمنع تسوس الأسنان
- يحافظ على رائحة الفم المنعشة
- الفوائد الجمالية
- الصحة العامة
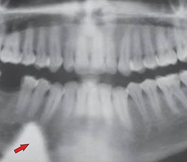
OPG, CBCT, RVG
يلعب التصوير السني دورًا حاسمًا في تشخيص وتخطيط العلاج لمختلف حالات الأسنان
- صحة الأسنان بشكل عام
- تخطيط تقويم الأسنان
- تقييم ضرس العقل
- تغطية واسعة
- غير جراحي
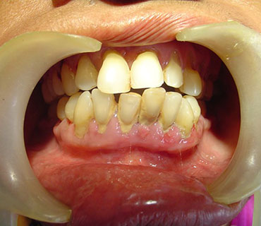
اللثة
إعادة تأهيل الفم الكامل هي خطة علاج أسنان شاملة تعالج مشاكل الأسنان المتعددة في الفم بالكامل
- تآكل شديد في الأسنان
- أسنان مفقودة متعددة
- أضرار الأسنان الواسعة النطاق
- آلام الفك أو مشاكل العض
تصحيح الابتسامة في يوم واحد
تصحيح الابتسامة في يوم واحد، والذي يشار إليه غالبًا باسم "تجميل الابتسامة في نفس اليوم" أو "الأسنان في يوم واحد"، هو إجراء طب أسنان يسمح للمرضى بتحقيق تحسينات كبيرة في مظهر ابتسامتهم في زيارة واحدة فقط
- قشور الأسنان
- تبييض الأسنان
- الترابط المركب
- تقويم الأسنان الفوري
التيجان والجسور
تعتبر التيجان والجسور من أكثر أعمال ترميم الأسنان شيوعًا في طب الأسنان.
- أطقم الأسنان القابلة للإزالة
- أطقم الأسنان الثابتة
- القشرة









